Retinal Manifestations in Patients with COVID-19: A Prospective Cohort Study
Abstract
:1. Introduction
2. Materials and Methods
2.1. Procedure
2.2. Outcomes
2.3. Statistical Analysis
3. Results
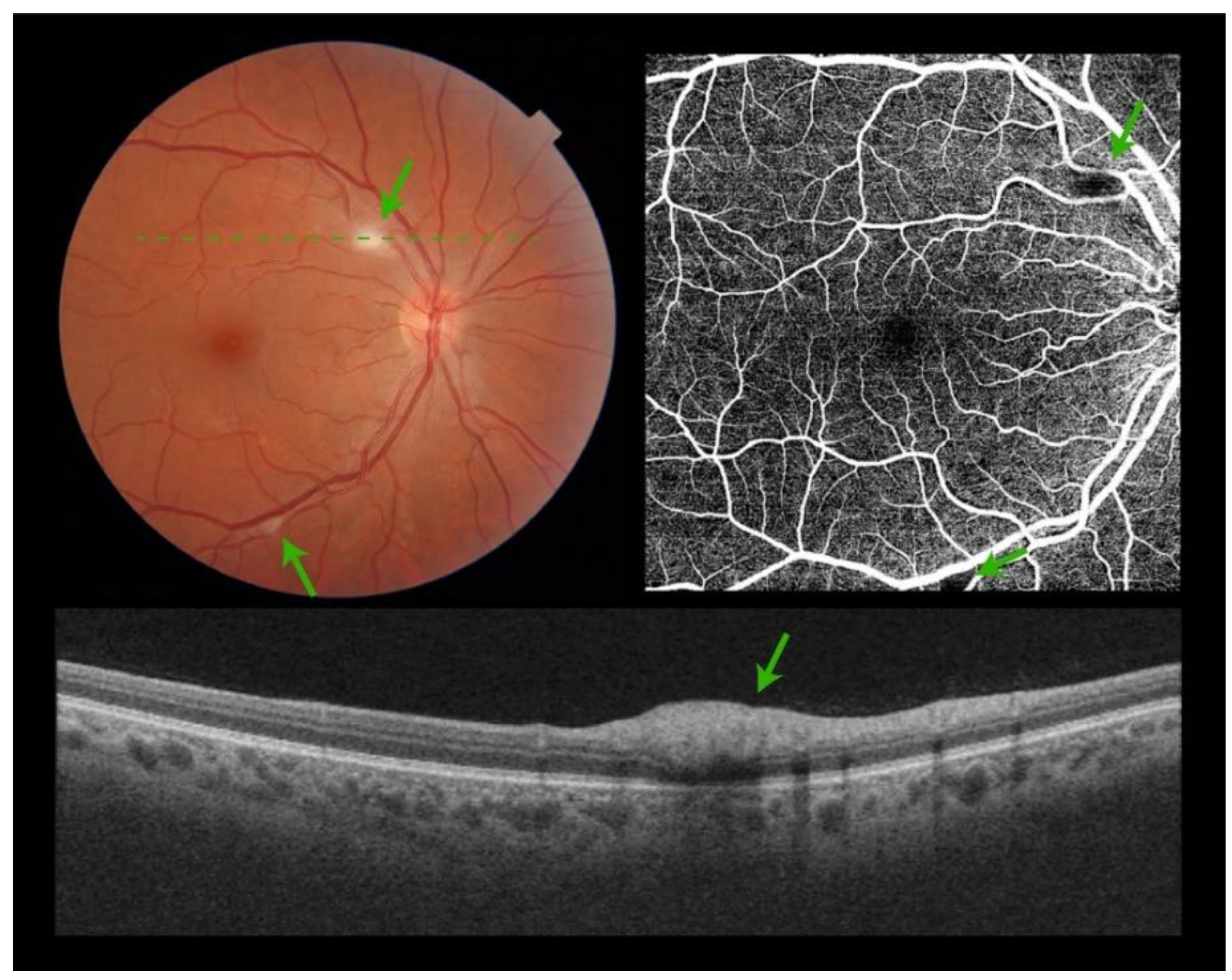
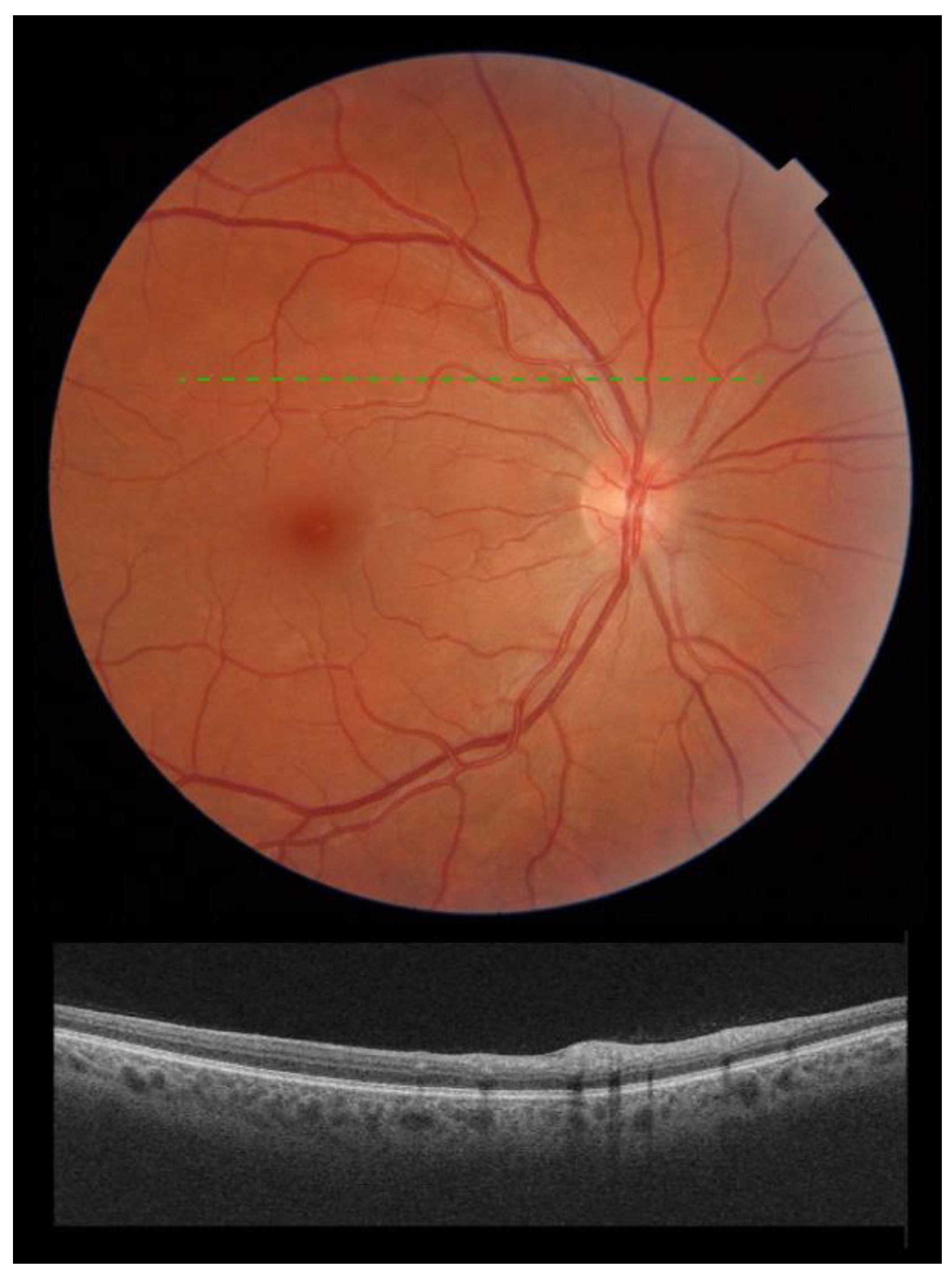
3.1. Retinal Findings in COVID-19 Patients
3.2. Evolution and Follow-Up
3.3. Correlation between Retinal Findings and Clinical Features in COVID-19 Patients
4. Discussion
Author Contributions
Funding
Institutional Review Board Statement
Informed Consent Statement
Data Availability Statement
Acknowledgments
Conflicts of Interest
References
- Jee, Y. WHO International Health Regulations Emergency Committee for the COVID-19 outbreak. Epidemiol. Health 2020, 42, e2020013. [Google Scholar] [CrossRef] [PubMed] [Green Version]
- Coronavirus Resource Center. Available online: https://coronavirus.jhu.edu (accessed on 17 April 2021).
- Su, H.; Yang, M.; Wan, C.; Yi, L.-X.; Tang, F.; Zhu, H.-Y.; Yi, F.; Yang, H.-C.; Fogo, A.B.; Nie, X.; et al. Renal histopathological analysis of 26 postmortem findings of patients with COVID-19 in China. Kidney Int. 2020, 98, 219–227. [Google Scholar] [CrossRef] [PubMed]
- Libby, P.; Lüscher, T. COVID-19 is, in the end, an endothelial disease. Eur. Heart J. 2020, 41, 3038–3044. [Google Scholar] [CrossRef] [PubMed]
- Siddiqi, H.K.; Libby, P.; Ridker, P.M. COVID-19—A vascular disease. Trends Cardiovasc. Med. 2021, 31, 1–5. [Google Scholar] [CrossRef]
- Moore, J.B.; June, C.H. Cytokine release syndrome in severe COVID-19. Science 2020, 368, 473–474. [Google Scholar] [CrossRef] [PubMed] [Green Version]
- Leisman, D.E.; Ronner, L.; Pinotti, R.; Taylor, M.D.; Sinha, P.; Calfee, C.S.; Hirayama, A.V.; Mastroiani, F.; Turtle, C.J.; Harhay, M.O.; et al. Cytokine elevation in severe and critical COVID-19: A rapid systematic review, meta-analysis, and comparison with other inflammatory syndromes. Lancet Respir. Med. 2020, 8, 1233–1244. [Google Scholar] [CrossRef]
- Vitalakumar, D.; Sharma, A.; Kumar, A.; Flora, S.J.S. Neurological Manifestations in COVID-19 Patients: A Meta-Analysis. ACS Chem. Neurosci. 2021, 12, 2776–2797. [Google Scholar] [CrossRef]
- Marinho, P.M.; Marcos, A.A.A.; Romano, A.C.; Nascimento, H.; Belfort, R. Retinal findings in patients with COVID-19. Lancet 2020, 395, 1610. [Google Scholar] [CrossRef]
- Landecho, M.F.; Yuste, J.R.; Gandara, E.; Sunsundegui, P.; Quiroga, J.; Alcaide, A.B.; García-Layana, A. COVID-19 retinal microangiopathy as an in vivo biomarker of systemic vascular disease. J. Int. Med. 2020, 289, 116–120. [Google Scholar] [CrossRef]
- Pirraglia, M.P.; Ceccarelli, G.; Cerini, A.; Visioli, G.; D’Ettorre, G.; Mastroianni, C.M.; Pugliese, F.; Lambiase, A.; Gharbiya, M. Retinal involvement and ocular findings in COVID-19 pneumonia patients. Sci. Rep. 2020, 10, 17419. [Google Scholar] [CrossRef]
- Pereira, L.A.; Soares, L.C.M.; Nascimento, P.A.; Cirillo, L.R.N.; Sakuma, H.T.; da Veiga, G.L.; Fonseca, F.L.A.; Lima, V.L.; Abucham-Neto, J.Z. Retinal findings in hospitalised patients with severe COVID-19. Br. J. Ophthalmol. 2020, 106, 102–105. [Google Scholar] [CrossRef] [PubMed]
- Markan, A.; Bansal, R.; Gautam, N.; Ahuja, C.; Agarwal, A.; Katoch, D.; Gupta, V. Longitudinal analysis of cotton wool spots in COVID-19 with high-resolution spectral domain optical coherence tomography and optical coherence tomography angiography. Clin. Exp. Ophthalmol. 2021, 49, 392–395. [Google Scholar] [CrossRef] [PubMed]
- Invernizzi, A.; Torre, A.; Parrulli, S.; Zicarelli, F.; Schiuma, M.; Colombo, V.; Giacomelli, A.; Cigada, M.; Milazzo, L.; Ridolfo, A.; et al. Retinal findings in patients with COVID-19: Results from the SERPICO-19 study. eClinicalMedicine 2020, 27, 100550. [Google Scholar] [CrossRef] [PubMed]
- Varga, Z.; Flammer, A.J.; Steiger, P.; Haberecker, M.; Andermatt, R.; Zinkernagel, A.S.; Mehra, M.R.; Schuepbach, R.A.; Ruschitzka, F.; Moch, H. Endothelial cell infection and endotheliitis in COVID-19. Lancet 2020, 395, 1417–1418. [Google Scholar] [CrossRef]
- Choudhary, R.; Kapoor, M.S.; Singh, A.; Bodakhe, S.H. Therapeutic targets of renin-angiotensin system in ocular disorders. J. Curr. Ophthalmol. 2016, 29, 7–16. [Google Scholar] [CrossRef] [PubMed] [Green Version]
- Patel, P.S.; Sadda, S.R. Chapter 51—Retinal Artery Obstructions. In Retina, 5th ed.; Elsevier: Amsterdam, The Netherlands, 2013. [Google Scholar]
- Wang, X.; Sahu, K.K.; Cerny, J. Coagulopathy, endothelial dysfunction, thrombotic microangiopathy and complement activation: Potential role of complement system inhibition in COVID-19. J. Thromb. Thrombolysis 2021, 51, 657–662. [Google Scholar] [CrossRef]
- Zhang, L.; Yan, X.; Fan, Q.; Liu, H.; Liu, X.; Liu, Z.; Zhang, Z. D-dimer levels on admission to predict in-hospital mortality in patients with COVID-19. J. Thromb. Haemost. 2020, 18, 1324–1329. [Google Scholar] [CrossRef]
- Agrawal, A.; McKibbin, M.A. Purtscher’s and Purtscher-like Retinopathies: A Review. Surv. Ophthalmol. 2006, 51, 129–136. [Google Scholar] [CrossRef]
- Cennamo, G.; Reibaldi, M.; Montorio, D.; D’Andrea, L.; Fallico, M.; Triassi, M. Optical Coherence Tomography Angiography Features in Post-COVID-19 Pneumonia Patients: A Pilot Study. Am. J. Ophthalmol. 2021, 227, 182–190. [Google Scholar] [CrossRef]
- Guemes-Villahoz, N.; Burgos-Blasco, B.; Vidal-Villegas, B.; Donate-López, J.; Martín-Sánchez, F.J.; Porta-Etessam, J.; López-Guajardo, L.; Martín, J.L.R.; González-Armengol, J.J.; García-Feijoó, J. Reduced retinal vessel density in COVID-19 patients and elevated D-dimer levels during the acute phase of the infection. Med. Clin. 2021, 156, 541–546. [Google Scholar] [CrossRef]
- Hayreh, S.S. Acute retinal arterial occlusive disorders. Prog. Retin. Eye Res. 2011, 30, 359–394. [Google Scholar] [CrossRef] [PubMed] [Green Version]


| Patients with No Retinal Anomalies N = 153 | Patients with Observed Retinal Anomalies N = 19 | p-Value | |
|---|---|---|---|
| Age, mean years (SD, range) | 55.1 (12.1, 43–67.2) | 54.7 (11, 43.7–65.7) | 0.890 |
| Male gender, n (%) | 76 (49.7%) | 13 (68.4%) | 0.197 |
| Hypertension, n (%) | 50 (32.70%) | 2 (10.50%) | 0.048 |
| Smoking, n (%) | 19 (12.40%) | 4 (21%) | 0.300 |
| Coronary disease n (%) | 10 (6.50%) | 1 (5.30%) | 0.840 |
| Dyslipidemia, n (%) | 19 (12.40%) | 2 (10.50%) | 0.812 |
| Diabetes, n (%) | 10 (6.50%) | 7 (36.80%) | <0.0001 |
| Overweight a, n (%) | 33 (21.60%) | 8 (42.10%) | 0.049 |
| Pulse rate, mean (SD) | 89.4 (23.2) | 96.4 (10.49) | 0.377 |
| Systolic blood pressure (mmHg), Mean, (SD) | 126 (23.2) | 130 (20.4) | 0.6477 |
| Temperature (°C), Mean, (SD) | 37.8 (0.92) | 37.7 (0.82) | 0.752 |
| Oxygen saturation, Mean, (SD) | 93.7 (3.88) | 94.6 (4.02) | 0.382 |
| Hemoglobin (g/L), mean (SD) | 137.3 (19.2) | 139.5 (20.32) | 0.649 |
| White blood cells (g/L), mean (SD) | 6.9 (3.03) | 6.8 (2.28) | 0.870 |
| Thrombocytes (g/L), mean (SD) | 227.9 (93.7) | 239.4 (101.62) | 0.629 |
| Fibrinogen (g/L), mean (SD) | 5.4 (1.51) | 5.1 (0.87) | 0.527 |
| CRP (mg/L), mean (SD) | 76.3 (72.26) | 121.9 (122.35) | 0.025 |
| Creatinine (µmol/L), mean (SD) | 72.3 (22.19) | 79.7 (20.59) | 0.179 |
| Bilirubin (µmol/L), mean (SD) | 7.9 (3.92) | 7.1 (2.96) | 0.551 |
| D-dimer (µmol/L), mean (SD) | 1073.3 (1023.1) | 1185.7 (1024.69) | 0.678 |
| PH, mean (SD) | 7.46 (0.04) | 7.42 (0.15) | 0.042 |
| pCO2 (kPa), mean (SD) | 4.8 (0.89) | 4.9 (1.10) | 0.840 |
| pO2 (kPa) mean (SD) | 8.2 (3.15) | 7.0 (4.01) | 0.330 |
| Oxyhemoglobin (%), mean (SD) | 79.3 (24.89) | 74.2 (23.68) | 0.584 |
| Lactate (mmol/L), mean (SD) | 1.3 (0.68) | 1.6 (0.58) | 0.367 |
| Bicarbonate (mmol/L) mean (SD) | 25.1 (3.72) | 22.7 (7.65) | 0.135 |
| Glycaemia (mmol/L), mean (SD) | 8.2 (3.57) | 10.6 (5.80) | 0.152 |
| Sex | Age | Comorbidities | Type of Lesions at Baseline | Eye Right/Left/ | Type of Lesions at 1st Follow-up | Type of Lesions at 2nd Follow-Up | Type of Lesions at 3rd Follow-Up | Oxygen Saturation (%) | Red Blood Cells (G/L) | Hemoglobin (g/L) | White Blood Cells (G/L) | Thrombocytes (G/L) | CRP (mg/L) | Sodium (mEq/L) | Potassium (mEq/L) | Creatinine (µmol/L) | D-Dimer (µmol/L) |
|---|---|---|---|---|---|---|---|---|---|---|---|---|---|---|---|---|---|
| (Day 1) | (Day 38) | (Day 72) | (Day 104) | ||||||||||||||
| F | 72 | Obesity, diabetes | CWS | R, L | None | None | n/a | 90 | 4.1 | 125 | 4.7 | 223 | 13 | 136 | 4.6 | 73 | 1458 |
| M | 46 | None declared | CWS | L | CWS | None | n/a | 93 | 5 | 148 | 8.1 | 220 | 114 | 137 | 5.2 | 61 | 675 |
| F | 64 | None declared | CWS/bleeds | R/L | None | n/a | n/a | 97 | 3.96 | 104 | 6.4 | 423 | 12.2 | 137 | 4 | 54 | 4357 |
| F | 58 | Obesity, diabetes, hypertension | CWS | L | None | None | n/a | 82 | 5.8 | 127 | 6.8 | 229 | 140 | 132 | 4.4 | 139 | 2379 |
| M | 65 | Hypercholesterolemia | CWS, bleeds | L | CWS | None | n/a | 96 | 506 | ||||||||
| F | 63 | Diabetes | CWS/bleeds | R/L | CWS | None | None | 100 | 5.66 | 159 | 7.8 | 192 | 44 | 133 | 5.3 | 107 | 688 |
| M | 43 | None declared | CWS | L | None | None | n/a | 95 | 5.85 | 173 | 11.8 | 339 | 250 | 134 | 4.5 | 86 | 347 |
| F | 68 | Hypertension, hypercholesterolemia, obesity, diabetes | CWS | R, L | CWS | None | None | 96 | 4.7 | 134 | 8.1 | 271 | 59.2 | 131 | 3.9 | 71 | 1088 |
| F | 42 | None declared | CWS | R | None | None | n/a | 94 | 4.6 | 133 | 3.8 | 179 | 75.8 | 141 | 3.8 | 70 | 1174 |
| M | 51 | Diabetes | CWS/hard exudates, bleeds | R/L | CWS, hard exudates, bleeds | Hard exsudates, bleeds | None | 98 | 5.33 | 158 | 7.3 | 230 | 60.8 | 131 | 4.3 | 84 | 439 |
| H | 51 | Obesity | CWS, bleeds | L | None | None | None | 92 | 4.85 | 147 | 5.5 | 99 | 180 | 137 | 4.3 | 75 | 1235 |
| H | 36 | Obesity | CWS | L | None | n/a | n/a | 95 | 5 | 141 | 3.3 | 344 | 62 | 137 | 3.5 | 73 | n/a |
| H | 46 | Obesity | CWS | R | None | None | n/a | 96 | 5.6 | 165 | 9 | 457 | 33 | 139 | 4.9 | 82 | 1908 |
| M | 57 | Diabetes | CWS | R | None | n/a | n/a | 94 | 5.02 | 144 | 9.3 | 296 | 280.86 | 134 | 4.3 | 70 | 1202 |
| M | 71 | Obesity, diabetes | CWS/bleeds | R/L | None | n/a | n/a | 100 | 2.63 | 89 | 6.6 | 106 | 116.37 | 130 | 4.4 | 66 | n/a |
| M | 51 | Obesity | Bleeds | R, L | None | n/a | n/a | 94 | 4.78 | 148 | 5.4 | 138 | 491.58 | 138 | 3.7 | 59 | >10,000 |
| M | 48 | Obesity | Bleeds | R/L | None | n/a | n/a | 92 | 4.77 | 142 | 7.7 | 158 | 89.75 | 133 | 3.7 | 92 | 581 |
| M | 62 | Obesity | CWS | L | None | n/a | n/a | 98 | 4.4 | 141 | 7.5 | 256 | n/a | 134 | 4 | 104 | 590 |
| F | 45 | Obesity | Bleeds | L | None | n/a | n/a | 95 | 5.19 | 133 | 2.7 | 150 | 50.61 | 136 | 3.2 | 68 | 344 |
Publisher’s Note: MDPI stays neutral with regard to jurisdictional claims in published maps and institutional affiliations. |
© 2022 by the authors. Licensee MDPI, Basel, Switzerland. This article is an open access article distributed under the terms and conditions of the Creative Commons Attribution (CC BY) license (https://creativecommons.org/licenses/by/4.0/).
Share and Cite
Riotto, E.; Mégevand, V.; Mégevand, A.; Marti, C.; Pugin, J.; Stangos, A.N.; Marconi Archinto, L.; Sunaric Mégevand, G. Retinal Manifestations in Patients with COVID-19: A Prospective Cohort Study. J. Clin. Med. 2022, 11, 1828. https://doi.org/10.3390/jcm11071828
Riotto E, Mégevand V, Mégevand A, Marti C, Pugin J, Stangos AN, Marconi Archinto L, Sunaric Mégevand G. Retinal Manifestations in Patients with COVID-19: A Prospective Cohort Study. Journal of Clinical Medicine. 2022; 11(7):1828. https://doi.org/10.3390/jcm11071828
Chicago/Turabian StyleRiotto, Eleonora, Vladimir Mégevand, Alexis Mégevand, Christophe Marti, Jerome Pugin, Alexandros N. Stangos, Leonardo Marconi Archinto, and Gordana Sunaric Mégevand. 2022. "Retinal Manifestations in Patients with COVID-19: A Prospective Cohort Study" Journal of Clinical Medicine 11, no. 7: 1828. https://doi.org/10.3390/jcm11071828
APA StyleRiotto, E., Mégevand, V., Mégevand, A., Marti, C., Pugin, J., Stangos, A. N., Marconi Archinto, L., & Sunaric Mégevand, G. (2022). Retinal Manifestations in Patients with COVID-19: A Prospective Cohort Study. Journal of Clinical Medicine, 11(7), 1828. https://doi.org/10.3390/jcm11071828

